林孝天重伤背后 竞技体育的脆弱与坚持
当“林孝天重伤!右踝三角韧带断裂 右侧腓骨骨折”这样的消息突然出现时,很多球迷第一反应是震惊,其次是复杂的心疼与惋惜。熟悉他的观众知道,这不仅仅是一则简单的伤情通报,而是一次可能影响职业前途与心理状态的重大事件。右踝三角韧带断裂意味着脚踝内侧重要稳定结构的损毁,而右侧腓骨骨折则进一步加重了下肢负荷的失衡,这类伤势往往与高强度对抗、急停变向、落地不稳等动作密切相关。对于依赖爆发力、启动速度与灵活脚步的运动员来说,这无异于被按下了“强制暂停键”,甚至可能改变其整个职业轨迹。
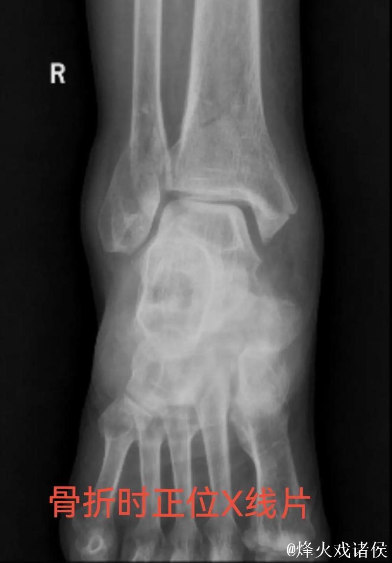
伤情解析 右踝三角韧带与腓骨骨折意味着什么
很多人在看到“右踝三角韧带断裂 右侧腓骨骨折”这样的医学表述时,只会感觉到“很严重”三个字,却未必真正理解其中的含义。踝关节三角韧带位于脚踝内侧,是一个由多条韧带组成的“组合体”,主要负责保持踝关节的内外稳定,防止小腿和足部出现异常翻转。当运动员在高速突破、急停、变向或落地时,如果脚踝遭遇过度外翻或扭转,三角韧带就可能被强行拉伸甚至撕裂。完全断裂不仅会造成剧烈疼痛,还会直接破坏踝关节的稳定性,使人几乎无法正常负重行走。与之同时出现的右侧腓骨骨折,大多与剧烈外力撞击或扭转应力有关。腓骨虽然不像胫骨那样承担大部分体重,但在踝关节的力学链条中起到重要支撑和协同作用。当韧带与骨骼在一次意外中同时受损,就意味着踝关节遭遇了极端应力,恢复与康复的难度成倍增加。
重伤的瞬间 从赛场意外到心理冲击
在高对抗、高节奏的比赛中,运动员没有太多时间去计算每一个落地动作的角度。一个不够理想的起跳、一次稍显仓促的落地、一次为了抢球或封盖做出的全力起冲,都会在电光火石间埋下风险。如果当时林孝天处于高速移动状态,又为了完成战术要求做出额外伸展,那么脚踝很可能处在一个极易受伤的极限位置。一旦落地时脚底不完全平稳着地,或被对手身体轻微干扰,就可能引发右踝三角韧带断裂与腓骨骨折的连锁反应。身体的疼痛是一方面,更大的打击往往来自心理层面:从全场追逐、拼抢、指挥、投射的焦点角色,突然变成躺在地板上无法起身的伤员,那种“身体不再听从指挥”的挫败感,足以瞬间击穿许多运动员精心构建的自信。
医学视角下的恢复周期 手术康复和不确定性
对于三角韧带断裂与腓骨骨折这种组合伤情,医学团队通常会综合评估踝关节稳定性、骨折位置与移位程度、软组织损伤范围,来决定是否采用手术治疗。若存在明显关节不稳或骨折移位,往往需要通过钢板、螺钉或钉棒内固定来重建骨性与韧带结构。在此之后,便是漫长而细致的康复周期。一般而言,骨折在数周内可以初步愈合,但韧带修复与功能恢复远比“骨头长好”更复杂。康复过程需要一套循序渐进的计划:早期的消肿与被动活动、中期的肌力与本体感觉训练、后期的专项运动模拟。每一个阶段若处理不当,都可能导致关节僵硬、力量不足或反复崴脚等后遗症。对职业运动员来说,问题不仅是“能不能走路”,而是“能不能继续高强度比赛、能不能保持原有水平”。任何轻微的落差,都可能在激烈竞争的职业舞台上被放大。
职业生涯的转折点 重伤如何改变一名球员
当林孝天重伤的消息传出,很多人不禁联想到历史上那些因重大伤病被迫改变打法甚至提前退役的案例。有的球员在膝盖韧带受伤后,放弃频繁突破,改以投射和传球为主;有的则在脚踝反复扭伤后,刻意降低落地高度,减少硬碰硬的对抗。从这个角度看,右踝三角韧带断裂与右侧腓骨骨折不仅是一张医学诊断书,更是一个职业拐点的标志。它逼迫球员、教练以及团队重新思考:未来他在场上的角色是否要调整;训练方式是否需要更加精细化、数据化;技术风格是否要从“爆发与冲击”向“节奏与效率”过渡。有的球员通过伤病完成了风格升级,变得更加成熟稳健;也有人因为心理阴影始终难以找回勇气,不再敢在对抗中全力起跳、落地。重伤既是身体课题,更是心态考验。
案例借鉴 他们曾走过类似的路
在竞技体育史上,有许多与林孝天经历类似的案例。某位后卫曾在一次对抗中脚踝外翻导致韧带撕裂合并腓骨骨折,手术后整整休养了大半年。回归赛场的前几个月,他几乎不敢做大幅度变向,很多原本轻松完成的动作,都需要在脑海中“预演”许多次,仿佛需要说服自己的脚踝“这次是安全的”。经过系统康复和心理辅导,他逐渐找回对脚步和身体的信心,将更多精力投入对比赛节奏的掌控和外线投篮练习,最终从一个以突破著称的球员,成长为更加全面的后场组织者。这个案例说明,严重伤病并不必然意味着终点,而是让运动员重新审视自我、重塑技术结构的契机。也存在相反的例子:有人在伤后复出过于急切,没有严格遵守康复计划,导致反复扭伤,脚踝长期肿胀,最终不得不提前结束职业生涯。这些真实故事,反衬出科学康复与耐心等待的重要性。

队伍角度的应对 战术调整与人员轮换
从团队层面看,“林孝天重伤!右踝三角韧带断裂 右侧腓骨骨折”带来的不仅是战力损失,更是战术重构的挑战。如果他原本担当关键轮换,甚至是球队防守核心或外线支点,那么教练组必须在短时间内完成战术板上的“再设计”。有的球队会启用年轻球员顶上空缺,让新生力量在压力中快速成长;有的则通过改变节奏、加强团队传导球,来弥补个人能力缺口。与此如何在舆论与球迷关注之下安抚球队士气,也是管理层需要面对的问题。队友对受伤球员的公开支持、教练对其康复计划的尊重与保护、俱乐部对长远规划的坚持,都会影响到这名球员对自身未来的判断与信心。
心理修复 重回赛场前必须跨过的一道坎

与肉眼可见的伤口相比,心理上的裂痕往往更难察觉。经历右踝三角韧带断裂 右侧腓骨骨折这样的重伤之后,哪怕医学指标显示恢复良好,运动员在起跳、争抢、落地的瞬间,仍可能不自觉收力,潜意识中产生“要不要稍微避一下”的犹豫。心理学研究显示,严重运动损伤后,若缺少专业心理干预,运动员更容易产生焦虑、失眠甚至轻度抑郁,对训练与比赛产生逃避情绪。现代职业俱乐部越来越重视运动心理支持:通过可视化训练、场景模拟、渐进式对抗,让球员在不断积累“安全成功经验”的过程中,重新建立对身体的信任。对林孝天而言,敢不敢再一次全力起跳、敢不敢在对抗中不留余地,将是他真正完成“复出”的关键标志。

球迷文化与舆论期待 温柔以待伤病中的运动员
在信息传播高度发达的今天,一则“林孝天重伤”的消息往往会在短时间内铺满社交平台。支持者担心、祝福,反对者甚至可能出现冷嘲热讽,这些声音都不可避免地传递到当事人耳中。理性的球迷能够理解:竞技体育从来伴随着高风险,哪怕再科学的训练和防护,也无法将风险降至零。过度苛责、赛后“键盘复盘式指责”、对伤病恢复时间的不耐烦催促,只会增加球员的心理负担。与其问“什么时候能复出”,不如把焦点放在“希望他以健康状态归来”上。真正成熟的球迷文化,是在见证辉煌与荣誉的也愿意在跌倒与伤痛中保持耐心与温柔。
从一次重伤看运动保护 预防才是最好的“治疗”
借由林孝天这次重伤,人们也开始反思:我们对运动防护是不是足够重视。从基层青训到职业联赛,是否真正把力量训练、柔韧性训练、平衡与本体感觉训练当作刚需,而不是可有可无的附属环节。大量研究表明,针对脚踝的专项训练,比如平衡板训练、单脚站立与闭眼稳定练习、针对小腿与足部肌群的力量强化,都能有效降低韧带损伤风险。同样,合理安排赛程、避免过度疲劳、在训练与比赛前进行足够热身与动态拉伸,也都是预防类似“右踝三角韧带断裂 右侧腓骨骨折”严重伤情的重要环节。当一名球员倒下时,不只是他个人需要反思,整个系统也值得好好复盘。
写在当下的期待 让伤病成为重生的起点
每一次重大伤病,都是运动员人生中的一道分水岭。对林孝天而言,这次重伤既是对身体极限的拷问,也是对心志韧性的试炼。若能在科学治疗、系统康复与团队支持下完成归来,他的故事将比以往更具力量:人们看到的,不再只是一名能突破、能得分的球员,而是一个经历伤痛仍然选择站起来的坚韧个体。而对普通观众来说,理解这次“右踝三角韧带断裂 右侧腓骨骨折”背后的复杂意义,也许会让我们在看待胜负时多一分理性,在面对运动员伤病时多一分尊重。在竞技体育的世界里,没有人能永远避免受伤,但每个人都可以在伤痛面前选择怎样回应。愿这次重伤,不是句号,而是林孝天书写新篇章的起点。
电话:029-5651202
传 真:029-5651202
手 机:13991818740
邮 箱:admin@zh-cn-betway.com
地 址:河南省洛阳市偃师市首阳山街道